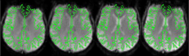
The Function Bioinformatics Research Network (FBIRN) Test Bed is developing tools to make multi-site functional MRI studies a common research practice. The same person, scanned at MRI centers using different machines and protocols, does not produce the same picture (see figure below of the same person scanned at four different scanners around the country).
The FBIRN has developed the Federated Informatics Research Environment (FIRE), a suite of tools and methods to calibrate and collect data across diverse environments; store and manage the imaging and clinical data in standard ways; analyze multi-site data; and share the results in a permanent location.
See the FIRE Primer for more information on the suite of tools, both current and coming. FBIRN is testing improved methods for collecting, sharing, and analyzing multisite fMRI data in clinical populations. Data collected so far is linked to from the Data page. Current recommendations and findings are maintained in the FBIRN Best Practices FAQ. FBIRN documentation for using BIRN capabilities is available on the BIRN Documentation wiki.

Example of MRI images of the same subject on four different scanners (2003)

The same subject scanned on four different scanners using the FBIRN methods (2009). Green lines indicate the grey/white matter boundary from a co-registered T1 scan.
Our goal: To create imaging analysis and calibration tools for high quality fMRI data that can be openly shared with the scientific community.
In completing these goals, FBIRN will provide large, multi-site, publicly available datasets rich in fMRI, structural imaging, and clinical data so that the research community can develop and test novel hypotheses.
For more information on FBIRN methods and tools, please see the FAQ and these video explanations.
Please contact any of the Key Personnel below with questions.
Key Personnel
- Principal Investigator: Steve Potkin, UCI, sgpotkin at uci.edu
- Scientific Coordinator: Jim Fallon, UCI, jfallon at uci.edu
- Project Manager: Theo van Erp, UCI, tvanerp at uci.edu
Participating Groups
| Brain Imaging and Analysis Center, Duke University Principal Investigator: James Voyvodic |
Massachusetts General Hospital , Harvard University Principal Investigator: Bruce Rosen; Co-Investigator: Douglas Greve |
| Brain Imaging Center, University of California, Irvine (Submitting Institution) Principal Investigator: Steve Potkin |
Mental Health Clinical Research Center, University of Iowa Principal Investigator: Daniel O’Leary |
| Center for Magnetic Resonance Research, University of Minnesota Principal Investigator: Kelvin Lim |
MIND Imaging Center, University of New Mexico Principal Investigator: John Lauriello |
| Department of Psychiatry, University of North Carolina, Chapel Hill Principal Investigator: Aysenil Belger |
Surgical Planning Laboratory, Harvard University Principal Investigator: Ron Kikinis; Co-PIs: Sandy Well, Cindy Wible |
| fMRI Research Center, University of California, San Diego Principal Investigator: Gregory Brown |
University of California, San Francisco Principal Investigator: Michael Weiner |
| Laboratory of Neuro Imaging, University of California, Los Angeles Principal Investigator: Arthur Toga |
Yale University Principal Investigator: Judy Ford; Co-Investigator: Dan Mathalon |
| Lucas Center, Stanford University Principal Investigator: Gary Glover |
Projects
FIRE (coming in 2010) is an integrated suite of tools to put your data on a gridFTP set of servers, link it to a database which is automatically federated, to be able to retrieve it from multiple sites, with the data wrapped in XCEDE (XML) wrappers. It’s built based on functional and structural neuroimaging, but if you have other data types, you don’t have to start from scratch figuring everything out. These tools are built to generalize to other formats and study designs.
Publications
Please see the Function BIRN Publications page here.
Funding Information
FBIRN is supported by U24 RR021992 to the Function Biomedical Informatics Research Network (FBIRN), that is funded by the National Institutes of Health (NIH).
Related links
- Best Practices: Functional MRI Multi-site Studies
- FBIRN documentation for BIRN Capabilities
- For more information on FBIRN methods and tools, please see these video explanations.


