Here are links to demos and downloads available for our featured BIRN Capabilities. Individualized demos for some of the BIRN capabilities are available for interested potential users. Contact us at partners-info AT birncommunity.org to discuss this option.
Data Movement with Globus Online
Globus Online uses advanced grid computing technology in an easy to use browser interface for transferring, syncing and sharing large amounts of data in a secure manner (a command line interface is also available for scripting/programming).
- Data Set Services in Globus Online (PDF Slides)
- Using Globus Online (highlights from live webcast using GO with XSEDE, 11 minutes)
- Complete 1 hour webcast walkthrough of Globus Online (Adobe Connect, 56 minutes)
Pipeline Workflow for Genomics Computing
The BIRN Genomics Pipeline provides a service-based solution for efficient, reliable, distributed, user‐friendly and reproducible data processing, analysis and visualization of large, heterogeneous and dynamic biomedical data.
- One-sheeter (PDF)
- Poster (PDF)
- Videos
- Interactive Demo
- Integrated Bioinformatics (MAQ, SAMTools, Bowtie) – This workflow contains the first step of a genomics data analysis protocol designed and implemented by Federica Torri, Fabio Macciardi and Ivo Dinov to process large number of sequence data outputted by the Illumina sequencing pipeline. See Step II analysis (GATK/QC/Cleaning) here. This protocol is implemented using the LONI Pipeline environment and includes the following types of computational resources: Mapping and Assembly with Qualities (MAQ), Sequence Alignment and Mapping tools (SAMtools), Bowtie, etc.
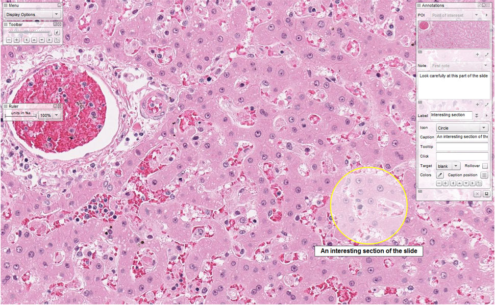
Pathology Workbench
The Pathology Workbench provides a system architecture and implementation of a digital pathology network to share large volumes of digitized whole slides images from a production system that federates across major research centers.
- A Flexible, Open, Decentralized System for Digital Pathology Networks was presented at the HealthGrid 2012 conference in Amsterdam:
Security with Globus Online
BIRN Access focuses on fine-grained authentication and authorization for sharing data via a simple browser-based interface and email notifications.
Query Mediator
The BIRN mediator is a general purpose solution to the problem of providing integrated, semantically-consistent access to biomedical data from multiple, distributed, heterogeneous data sources. The system follows the mediation approach, where the data remains at the sources, providers maintain control of the data, and the integration system retrieves data from the sources in real-time in response to client queries.
- Neuroscience data integration through mediation: an (F)BIRN case study (Paper published in Frontiers, 2010) – This paper describes a particular use case where the Mediator integrates data between the Human Imaging Database (a relational database) and the eXtensible Neuroimaging Archive Toolkit (an XML web services system).







